045-548-9692
横浜駅西口から徒歩7分
アクセス
神奈川県横浜市西区北幸2-12-26 フェリーチェ横浜R001
休診日:月曜・火曜・祝日(土曜、日曜は診療しています)
診療時間はこちら
予約・問合せ
メニュー
症例紹介
ホーム
院長紹介
6つのこだわり
診療科目
インプラント
カウンセリング
矯正治療
短期集中治療
根管治療
歯科ドック
歯周病治療
審美治療
虫歯治療
無痛治療
治療の流れ・料金
アクセス
初めての方へ
症例紹介
ご予約
全ての症例
審美治療
根管治療
歯周病治療
歯科ドック
矯正治療
虫歯治療
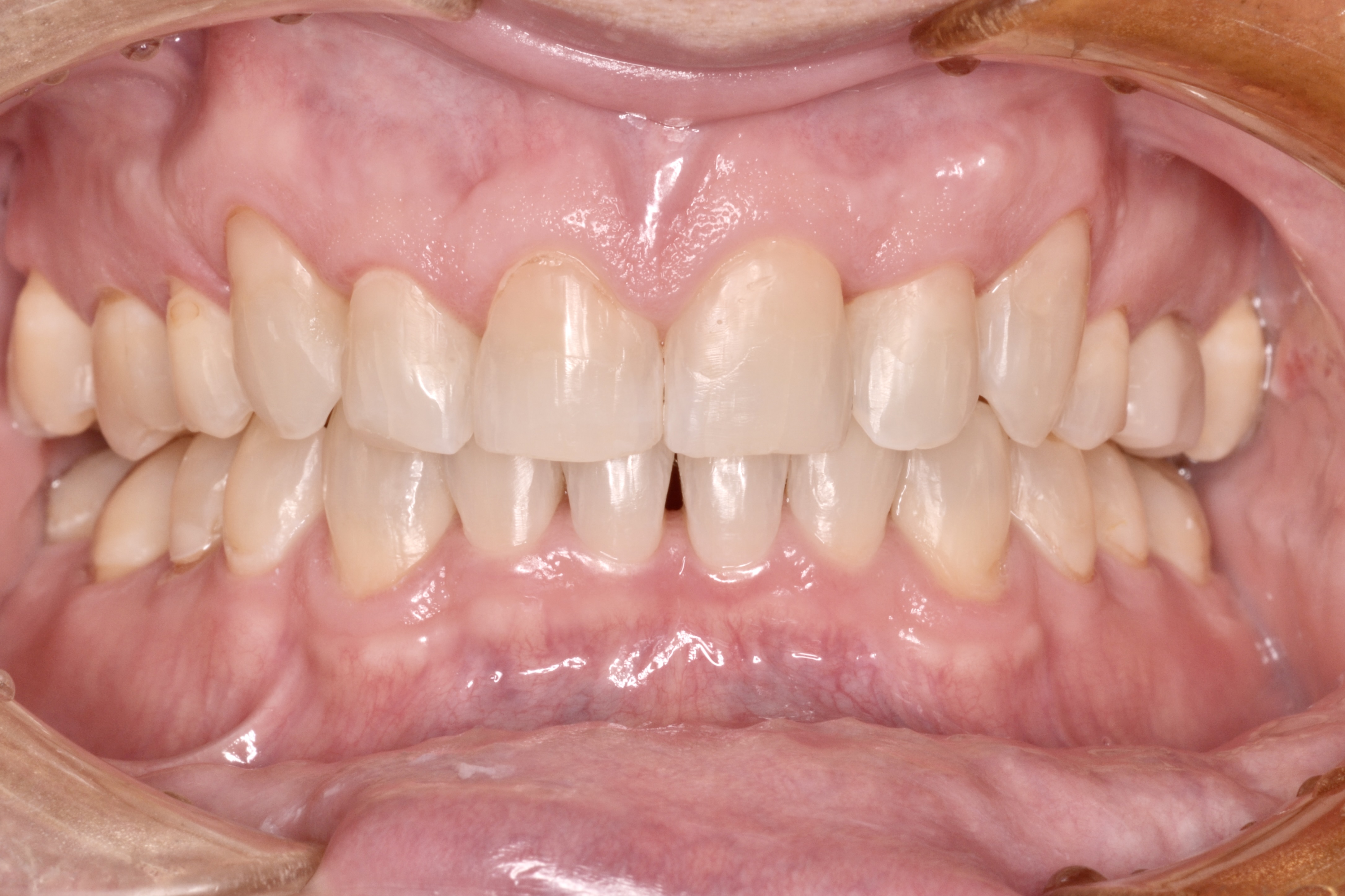
Before
After
「歯列不正」と「深い噛み合わせ」に対して上顎2本抜歯と矯正用インプラントを用いた矯正治療例
40代男性
#審美治療
#根管治療
#歯周病治療
#歯科ドック
#矯正治療
#虫歯治療
治療期間
1年9ヶ月
費用
213.4万円(税込)